




Cosmetic Contouring
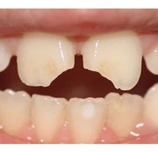
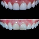
Cosmetic contouring is a dental treatment that also known as dental reshaping or enameloplasty or Odontoplasty. It is a dental procedure that involves the removal of a small amount of tooth enamel to improve the appearance of teeth. It can also be used to correct issues such as cracked, chipped, or crooked teeth. Cosmetic Contouring is a specialized dental treatment that aims to improve the overall appearance of teeth and the smile of an individual while maintaining optimal oral health. If you feel dissatisfied with the size, shape, color, or alignment of your teeth, opting for cosmetic treatments can be an excellent investment toward achieving the perfect smile.
Cosmetic contouring is a painless dental treatment that does not require anesthesia. During a cosmetic contouring procedure, dental X-rays are taken to determine the size and location of the pulp, which contains arteries and nerves. After that, the teeth are examined to determine if cosmetic contouring is the best treatment option for the patient. Recontouring is impossible if the pulp is too thin or too close to the tooth. Other procedures, such as dental bonding, may be preferred in these cases. Then, using a sanding disc or fine diamond, our skilled dentist will remove a small amount of enamel from the surface of your teeth to give them a more desirable shape. After the aesthetic contouring procedure, your teeth will be polished to give a smooth and shiny appearance. This will give you a beautiful, natural-looking smile that you can be proud of.
At House of Dontics, we’re passionate about helping you achieve the smile you desire through cosmetic contouring or any other cosmetic dental treatment. We provide comprehensive cosmetic contouring treatment using modern tools and technology. We understand that every patient has different dental needs and aspirations, which is why we take a personalized approach to create a customized treatment plan tailored specifically to your unique goals. Our team will work closely with you to ensure that your desired outcomes are achieved effectively and efficiently.
Unveiling Our Treatment's Unique Strengths
Enamel removal
The contouring procedure involves removing small amounts of tooth enamel to reshape the teeth. This is done using a dental drill or laser. The dentist carefully removes small amounts of enamel from the surface of the teeth to create a more aesthetically pleasing shape.
Dental Bonding
This is a cosmetic technique that involves the application of a tooth-colored resin material to the tooth. The resin is sculpted and shaped to correct any imperfections and is then hardened using a special light. Dental bonding is commonly used to correct minor tooth damage, such as chips or cracks.
Polisher
After the enamel removal and dental bonding are completed, a polisher is used to smooth and polish the surface of the tooth. The polisher removes any rough or uneven surfaces and gives the tooth a smooth, shiny finish.
Digital imaging
Dentists use advanced digital imaging technology to capture 3D images of a patient's teeth and gums. This helps in the diagnosis and planning of cosmetic contouring procedures.
Dental lasers
Lasers are used in cosmetic contouring to reshape the gums and remove excess tissue. This is a minimally invasive technique that results in less bleeding and discomfort compared to traditional methods.
Dental drills
High-speed dental drills are used to contour and reshape the teeth. Advanced drills are equipped with computerized controls that allow for precise and accurate shaping.
Electric Handpieces
These high-speed handpieces are used to remove tooth structure quickly and precisely, which can be useful for contouring the teeth and creating a more symmetrical smile.
Expertise
With a deep understanding of dental anatomy and oral health, We offer expertise in diagnosing and treating a wide range of dental problems
Showcasing Exceptional Outcomes of Our Surgeries
Unleash Your Dazzling Smile Today!
- If you have a history of nausea, inform your doctor ahead of time so that he can prescribe you drugs at home.
- Avoid smoking or using any tobacco products for at least 15 days before the procedure.
- Avoid consuming alcohol or any caffeinated beverages for at least 24 hours before the procedure.
- Inform us if you are taking any nutritional supplements, vitamins, fat burners, or other health and wellness products.
- Eat a light meal before the procedure to help prevent nausea and dizziness.
- Do not eat or drink anything for six to eight hours before the procedure, as instructed by the dentist.
- Wear comfortable, loose-fitting clothing on the day of the procedure.
- Do not wear any jewelry or accessories, including contact lenses, during the procedure.
- Take any prescribed pain medications as directed by the dentist.
- Apply an ice pack to the treated area for 10-15 minutes every hour for the first 24 hours to reduce swelling.
- Avoid touching the treated area with your fingers or tongue to prevent infection.
- Eat soft foods for the first few days and avoid hot, spicy, or crunchy foods that may irritate the treated area.
- Brush your teeth gently and avoid flossing near the treated area for the first few days.
- Avoid smoking or using tobacco products as they can delay the healing process.
- Don’t drink alcohol while taking your post-surgery meds.
- Schedule a follow-up appointment with dentist to ensure proper healing and to monitor any potential complications.
Understanding Root Causes of Dental Issues
Irregularly shaped teeth
Teeth that are uneven or misshapen can be reshaped to create a more uniform appearance.
Chipped or cracked teeth
Teeth that are chipped or cracked can be contoured to smooth out rough edges and create a more polished look.
Overlapping or crowded teeth
Teeth that overlap or are crowded can be reshaped to create more space and improve the overall appearance of the smile.
Uneven gum line
Gum tissue can also be contoured to create a more symmetrical gum line, which can enhance the appearance of the teeth.
Small or short teeth
Teeth that are too small or too short can be contoured to create a more proportionate and aesthetically pleasing smile.
Discoloration or staining
Teeth that are discolored or stained can be polished and reshaped to create a brighter, more radiant smile.
Pointed teeth
Teeth that are overly pointed can be contoured to create a more natural, rounded appearance.
Bad Hobbies
Unhealthy habits like tobacco and excessive alcohol consumption can lead to dental problems, causing long-term damage to oral health
Our Treatment Process
Examination
X-rays
Preparation
Enamel removal
Dental bonding
Polishing
Frequently Asked Questions
Patient Testimonials
Blogs
Lingual Braces vs. Traditional Braces: Comparing the Differences
Enhance Your Smile and Boost Your Self-Image with a Smile Makeover
Getting Ready for Your First Root Canal Treatment - The Need-to-Know Details
Explore Our Comprehensive Dental Services
Smile Makeover
Your smile is a reflection of your inner joy and positivity, and it can communicate volumes without you saying anything. Smile is a universal language that can transcend barriers and connect you with people from all walks of life. The modern way of living has a significant
Gap Closure
Having gaps in your front teeth can impact the aesthetics of your smile. For many people who desire a more streamlined smile, Gap closure treatment is the preferred option. Dental gap problems can have an influence on your general health as well as your appearance. Do you
No Prep / Prepless Veneers
Prepless Veneers are porcelain (ceramic) veneers that are placed on the front upper and lower natural teeth without changing the structure of your teeth. No prep veneers are a cosmetic dental treatment that can improve the appearance of minor tooth imperfections such as chipped or broken teeth, yellowing or stained teeth, small gaps between teeth, misshapen,
Crooked Tooth Correction
Crooked or misaligned teeth are a common dental issue that affects children, teens, and adults. Patients who have crooked teeth are at a higher risk of experiencing dental issues such as tooth decay, gum disease, teeth damage, and even loss of teeth. Crooked teeth can be challenging to clean properly, which can contribute to more severe dental problems.
Teeth Whitening
Teeth whitening is a cosmetic dental solution for those who want to improve the appearance of their smiles. It is a dental technique that lightens and brightens teeth by removing surface stains, yellowish, and discoloration. Teeth whitening is a simple and painless procedure that involves the use of bleaching agents to remove stains and yellowish from the teeth.
Jetting Out Teeth Correction
Teeth jetting out, also known as protruding teeth or overjet, is a common dental issue that can cause various issues, including difficulties chewing, trouble speaking, gum disease, tooth decay, and low self-esteem. This condition occurs when the upper front teeth extend beyond the lower front teeth, resulting in a misaligned bite.
Mottling of Teeth Correction
Mottling of teeth, also known as dental fluorosis, is a condition where the teeth become discolored or have white spots on them due to an excess of fluoride during tooth development. This condition is distinguished by white or brown spots on the teeth, which are unattractive
Root Canal Treatment
Root canal treatment (RCT), also known as endodontic treatment, is a dental treatment used to treat an infected or diseased tooth. Each tooth has three layers: enamel, dentin, and pulp. The pulp is the soft tissue inside the tooth that contains nerves and blood vessels. When the pulp becomes infected or damaged
Cosmetic Tooth Colored Fillings
Cosmetic Tooth Colored Fillings are a popular and effective treatment option for restoring decayed, cracked, or chipped teeth while maintaining a natural-looking smile. The advantage of Cosmetic Tooth Colored Fillings is that they can provide greater beauty in a single visit.
Tooth Crystal
Achieving a bright, radiant smile is a common goal for many of us. However, have you ever considered adding a touch of glamour to your pearly white teeth? Tooth Crystal has emerged as the latest trending fashion for youngsters and females, which involves the placement of dazzling diamonds
Inlays & Onlays
Inlays and onlays are dental treatments used to support simple fillings in premolars or molars when the tooth is damaged or decayed. They are a type of restoration that is used when the damage or decay is too extensive to be treated with a filling, but not severe enough to require a full dental crown.


